By Dav-Ste
Sedona, AZ — There is a new [September 5, 2025] paper review in Scientific American, How the Brain Tells Imagination from Reality, stating that, “Picture an apple, any apple. As long as you don’t have aphantasia—the inability to visualize things in your mind’s eye—this suggestion triggers brain activity that’s surprisingly similar to what happens when you see a real-world apple with your eyes. Such neural overlap is economical because both cases require the brain’s visual system to carry out many of the same tasks. But it also raises a question: How does our brain tell reality and imagination apart.”
“Neuroscientists are now beginning to understand the brain circuit that handles this distinction. Bottom-up and top-down processes both contribute to our visual experiences—but bottom-up is arguably more important for perceiving the external world, while conjuring mental images is usually controlled by top-down commands. But given that both processes generate activity in the same regions, how does the brain keep reality straight?”
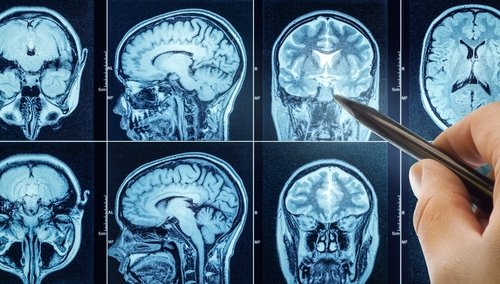
“The functional magnetic resonance imaging (fMRI) brain scans revealed a region that was more active when participants reported seeing a pattern, either real or imagined. The researchers call this activity in the fusiform gyrus a “reality signal,” and their findings suggest it is formed from the sum of activity from both mental imagery and perception. The researchers think this signal is then evaluated by another region, the anterior insula, which was active while participants were completing the tasks. The study results suggest the anterior insula evaluates the reality signal and makes a “yes or no” decision; activity above a certain threshold feels real, while activity below it feels imagined.”
“But operating in this way still leaves open the possibility that imagery and perception could be confused. It’s not hard to imagine how dysfunction in parts of this circuit could result in faulty judgements about reality. For instance, if the signal produced by the fusiform gyrus during imagery is too strong, or if the threshold in the anterior insula is set too low, imagination could be mistaken for reality.”
“Something similar may happen with auditory hallucinations, which often take the form of hearing voices. A 2016 study asked healthy participants, who had varying tendency to experience hallucinations, to listen for sentences masked by noise while silently producing the same words in their mind as inner speech. Hallucination-prone participants were more likely to report hearing a voice when doing this, regardless of whether a voice was present.”
Psychosis
If a similar brain activity is noticed for the same thing — in reality or imagination, it is possible to theoretically infer that destinations [of interpretations or locations] in the brain have multiple entry and exit paths. Certain perceptive types may use a path, more than others. So, multiple paths to the same destination; some, regular for certain types. However, there may sometimes be usages of different paths for an entry type [reality or non-reality]. There may even be a new path too, aside from an interchange of paths.
A reason could be because of the dimension of paths. Simply, because external perceptions may sometimes arrive with a higher intensity [of electrical signals], the dimensions of the path for reality maybe different from those of non-reality [including imagination, thought and so forth]. However, except there are aberrations, types stick with [their] regular paths, even at varying intensities, in general. Some problems may not necessarily begin at a destination; it may begin elsewhere and then cascade. However, even for people living with schizophrenia, there are still aspects of reality available, in many ways, showing that the use of some paths are preserved.
Aside from paths, there are sides of destinations that interpretations may begin for some, differently from others. For example, since they are using respective paths, or even if possible, same paths, the side to start the interpretation maybe so different that it may indicate the source [for type: reality or non-reality]. There may also be splits of signals, where those for reality split once and those of non-reality split more than once. Splits of electrical signals explain prediction. So, for reality it could just be in two places, then correction immediately follows, while for non-reality, it is more, to maximize what to make of things. There could be other attributes, like residues after interactions or summaries in travel paths, and so forth.
Simply, there are interactions and attributes of electrical and chemical signals, to result in functions and their extents. This is how to conceptually establish how to distinguish between reality and non-reality. The fusiform gyrus and the anterior insula both consist of neurons. The neurons operate with their electrical and chemical signals. This means that signals can be used as the conceptual basis to define how the brain organizes information, in general.
It is possible to model reality against delusion and hallucinations, using electrical and chemical configurators. Configurators because they are postulated to be responsible for all functions, not simply being signals for communication.
AI Psychosis
If AI chatbots are responsible for psychosis, it is possible to have a flowchart framework of the human mind to state, simply, of destinations and paths, so that users become aware that certain words are directing their mind towards certain locations, without going to the locations for caution, consequences or even possibly for the paths of reality.
Already, digital experiences are vast enough to feel real to the mind. However, there are still possibilities, because of paths, summaries and residues of signals to distinguish. For some, however, it is possible that some of those fail, resulting in disconnected experiences.
AI Psychosis Research Lab
Currently, there is no AI psychosis research lab, anywhere in the world, even as AI sycophancy is advancing as chatbots become immersed across, including in education. Exploring to develop one would be especially vital, towards deployment for chatbots and to be a standard in the industry. Having one would be a quick way to ensure that answers follow this emerging problem, exceeding some of the mandates of AI model_welfare_and_behavior research. The lab could be fully remote, but efforts would be concatenated towards solving the crisis.
There is a recent [September 4, 2025] spotlight in The New York Times, A Pill to Heal the Brain Could Revolutionize Neuroscience, stating that, “In many ways, neuroscience was stuck in the age of Santiago Ramón y Cajal, one of neurology’s greatest minds. Dr. Carmichael’s teachers often quoted Dr. Cajal’s 1928 declaration that, in the adult brain, “the nerve paths are something fixed, ended and immutable. Everything may die, nothing may be regenerated.””
